| Автор |
Сообщение |
|
Артем Астроскоп
|
|
Регистрация: 05 дек 2011 Посты: 1255
Vk:
|
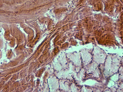
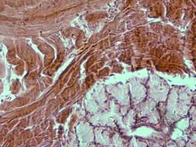
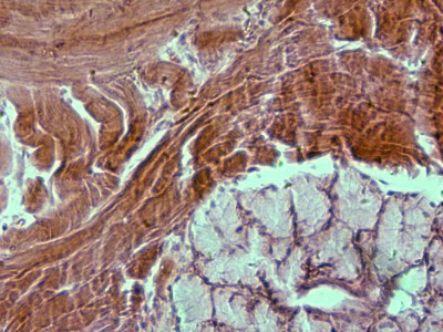
Фото сделаны через микроскоп Celestron Dual-View 40-1600х - оптический микроскоп с LCD экраном и оптическим увеличением в 400х. За счёт масштабирования изображения достигается кратность в 1600х Его аналог микроскоп Bresser Biolux LCD 40-1600xhttps://astroscope.com.ua/mikroskop_ ... d/1181.htmСрез стебля сосны Просмотров: 3632
|
|
|
|
|
|
|
Артем Астроскоп
|
|
Регистрация: 05 дек 2011 Посты: 1255
Vk:
|
Фотография получилась не сильно качественная, микроскоп либо толкнули в момент фотографирования, толи попала грязь на объектив микроскопа или просто не сфокусировались точно. Эпителий Просмотров: 3632
|
|
|
|
|
|
|
Артем Астроскоп
|
|
Регистрация: 05 дек 2011 Посты: 1255
Vk:
|
Клетки семян яблока Просмотров: 3632
|
|
|
|
|
|
|
Игорь Коваленко
|
|
Регистрация: 22 янв 2014 Посты: 1 Откуда: Днепропетровск
Vk:
|
Сообщите с какой программой поставляется Цифровая камера Sigeta UCMOS 5100 5.1MP и позволяет ли эта программа производить замеры : линейные, площади и т.д. Идет ли в комплекте эталон измерений (микрометрическое стекло и т.п.)
|
|
|
|
|
|
|
Артем Астроскоп
|
|
Регистрация: 05 дек 2011 Посты: 1255
Vk:
|
Игорь Коваленко писал(а): Сообщите с какой программой поставляется Цифровая камера Sigeta UCMOS 5100 5.1MP и позволяет ли эта программа производить замеры : линейные, площади и т.д. Идет ли в комплекте эталон измерений (микрометрическое стекло и т.п.) Микрометрического стекла нет. Описание (manual) и само ПО прикладываю в письме на почту.
|
|
|
|
|
|
|
Алексей Зайченко
|
|
Регистрация: 06 ноя 2013 Посты: 19 Откуда: Киев
Vk:
|
Артем Астроскоп писал(а): Игорь Коваленко писал(а): Сообщите с какой программой поставляется Цифровая камера Sigeta UCMOS 5100 5.1MP и позволяет ли эта программа производить замеры : линейные, площади и т.д. Идет ли в комплекте эталон измерений (микрометрическое стекло и т.п.) Микрометрического стекла нет. Описание (manual) и само ПО прикладываю в письме на почту. У меня Sigeta UCMOS 3100, микрометрическое стекло в комплекте есть. При консультации (в другом магазине) мне сказали, что вся линейка идет с одинаковой комплектацией - камера, 2 переходника, юсб шнур, линейка и диск.
|
|
|
|
|
|
|
Артем Астроскоп
|
|
Регистрация: 05 дек 2011 Посты: 1255
Vk:
|
Алексей Зайченко писал(а): Артем Астроскоп писал(а): Игорь Коваленко писал(а): Сообщите с какой программой поставляется Цифровая камера Sigeta UCMOS 5100 5.1MP и позволяет ли эта программа производить замеры : линейные, площади и т.д. Идет ли в комплекте эталон измерений (микрометрическое стекло и т.п.) Микрометрического стекла нет. Описание (manual) и само ПО прикладываю в письме на почту. У меня Sigeta UCMOS 3100, микрометрическое стекло в комплекте есть. При консультации (в другом магазине) мне сказали, что вся линейка идет с одинаковой комплектацией - камера, 2 переходника, юсб шнур, линейка и диск. Приношу извинения, в новой поставке камера идёт с линейкой. Вот такой:  Просмотров: 3518
|
|
|
|
|
|
|
Алексей Горобей
|
|
Регистрация: 24 янв 2014 Посты: 47 Откуда: Сумы
Vk:
Google+:
|
Так выглядит дисплей планшета. Объектив 100 крат, и фотоаппарат canon 600d в "прямом фокусе" без окуляра. Микроскоп Delta Optical.
 Просмотров: 3493
|
_________________ Sky-Watcher DOB 8 GOTO, бинокль 10х50 Сертифицированный партнер AstroScope #140130
|
|
|
|
|
|
|
Артем Астроскоп
|
|
Регистрация: 05 дек 2011 Посты: 1255
Vk:
|
 Просмотров: 3490
|
|
|
|
|
|
|
Александр Мулява
|
|
Регистрация: 05 дек 2013 Посты: 62
Facebook:
|
Поймали на волосе после прогулки на улице. → Микроскоп Delta Optical Genetic Pro Bino USB (А)
 Просмотров: 3327
|
|
|
|
|
|
|
|
|