Как правильно приготовить образец крови?Пару дней назад один из наших клиентов обратился ко мне с вопросом: «Я приобрёл у Вас микрсокоп для наблюдения крови и не могу рассмотреть эритроциты, они все вместе какие-то склеенные!» Данный вопрос и натолкнул меня на написание данной мини-статьи.
Проблема заключалась в не правильном приготовлении препарата крови. Как это делается Вы узнаете далее.
Если просто капнуть каплю крови на предметное стекло, то Вы увидите красные эритроциты склеенные какой-то светлой жидкостью (очень похоже на вид красной икры в банке). Как же сделать правильно?
1. Нам понадобится чистое обезжиренное предметное стекло, покровное или второе предметное стекло для распределения (размазывания) крови по поверхности. Стекла необходимо промыть под струёй воды, тщательно высушить, они не должно быть ранее использованы. Если стеклом ранее пользовались, то прокипятите его в соде или зольной щелоке. После стекло опять же таки промывается под струёй воды, высушивается и помещается в раствор спирта и эфира в равных долях.
2. Как только Вы получили образец крови из пальца «пациента», то необходимо сразу приступить к приготовлению мазка, так как позже кровь свернётся и потеряет свои физиологические свойства.
3. Помещаете каплю крови на предметное стекло, желательно не по центру, а ближе к краю, так как мы потом её размажем по всему стеклу. Далее берёте покровное стекло и прислоняете его с небольшим нажимом к предметному под углом в 45 град. , касаясь его краем образца крови. В месте соединения стёкол капля растекается в линию (ждём пару секунд).

Просмотров: 3633
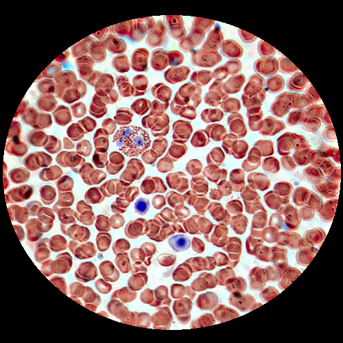
4. Стекло необходимо прижимать перед каплей по направлению размазывания, чтобы кровь тянулась за стеклом,а не размазывалось им. Так образец лучше распределяется и не повреждается. После готовый образец высушивается. Мазок должен быть тонким, гомогенным, без просветов и прерываю щих линий, с нежной поверхностью и без следов гемолиза.
Готовый образец должен выглядеть так:

Просмотров: 3633
1. Забыли обезжирить мазок
2. Слишком короткий мазок
3. Неравномерный мазок, слишком длинный
4. правильны мазок
Затрагивать тему приготовления фиксированных образцов не буду — это объёмный очень вопрос и его затрону чуть позже.